
Koronavirus se sve više širi – do sada je usmrtio 259 ljudi, skoro 12.000 je obolelo, a prijavljeni su oboleli u 23 države!
Dok naučnici iz Kine i Rusije, ali i naši stručnjaci pokušavaju da naprave vakcinu, ekipa naučnika sa Univerziteta u Hongkongu je objavila uvećanu fotografiju na kojoj se vidi kako se razmnožava koronavirus.
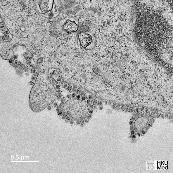
Na fotografiji se vidi presek zaražene ćelije, uzgajane u laboratoriji, kao i virusnih čestica koje se oslobađaju sa njene površine.
Svaka zaražena ćelija proizvodi stotine novi virusnih čestica koje mogu da zaraze nove ćelije, objasnio je profesor patologije dr Džon Nikols.
Inače, stručnjaci proučavaju uzorke ćelija u različitim momentima, da bi bolje razumeli kako se razmnožava tip 2019-nCoV virusa u odnosu na druge koronaviruse.