Doktori u Bostonu doživeli su prizor iz horor filma kada su pregledali pacijenta starog 38 godina, koji je iznenada dobio napad, bio je dezorijentisan i pričao je nepovezano.

Muškarac iz Masačusetsa, čije ime nije saopšteno, jedne noći se srušio na pod. Supruga ga je pronašla i pozvala Hitnu pomoć. Nije odgovarao na pitanja, prema njenim rečima, "lupetao" je besmislice, a pogledom je fiksirao jednu tačku na plafonu dok mu se celo telo treslo.

Nije imao nikakvu istoriju bolesti, uzimanja lekova ili opijata, i ovo je bio prvi napad koji je doživeo u životu.

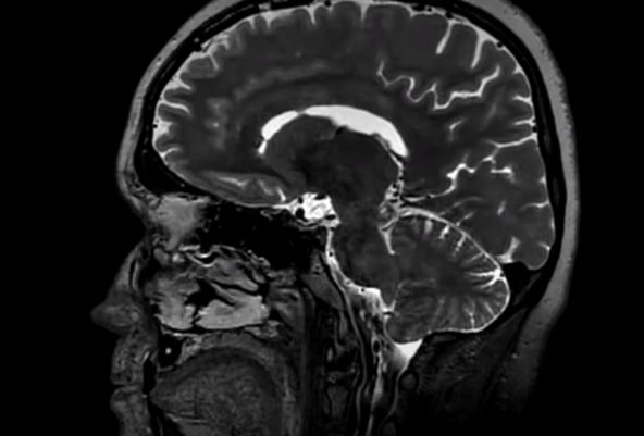
Urađene su mu sve moguće analize, i zbog straha od neurološkog problema, doktori su uradili i skener mozga. Na slici su ugledali jeziv prizor - nekoliko pantljičara se nastanilo u mozgu pacijenta. Ovo stanje naziva se cerebralna cisticerkoza, i nastaje kada se paraziti uneti kroz hranu, najverovatnije nedovoljno termički obrađeno meso svinje, nastane u mozgu.

Dve decenije ranije, ovaj čovek emigrirao je iz ruralne Gvatemale, gde su ovakva stanja relativno česta zbog loše higijene i nepravilne obrade hrane. Američki lekari bili su šokirani jer se ova bolest retko viđa u razvijenim zemljama. Moguće je da je pantljičare uneo još u domovini, 20 godina ranije, i da su sve to vreme živele u njegovom telu.

pantljicara u crevima
Foto: Shutterstock/Juan Gaertner

Paraziti kao što je pantljičara mogu se uneti kroz digestivni trakt, ali se mogu prenositi i sa čoveka na čoveka ako inficirana osoba ne opere ruke nakon odlaska u toalet. Jaja u kojima se nalaze pantljičare tako mogu da završe na površinama koje će dodirnuti sledeća osoba, pa uzeti nešto da jede... Jasno vam je kako dalje ide ova prilično gadna infekcija.

Simptomi su gubitak težine, problemi s varenjem, bolovi u stomaku, ali parazit ne mora da ostane u sistemu za varenje, kao što se dogodilo u ovom slučaju. Pantljičare mogu kroz mišiće i krvotok da "putuju" dalje kroz organizam i izazovu čitav niz simptoma, u zavisnosti od toga gde će ostati.

Najčudnije je što jaja u kojima se pantljičare nalaze mogu mesecima, čak i godinama, da budu u svojevrsnoj hibernaciji u organizmu, i da uopšte ne izazovu imuni odgovor tela.

Najbolji način da se zaštitite od ove bizarne infekcije je da meso, naročito svinjetinu ali i ribu, dobro termički obrađujete, vodite računa o higijeni u kuhinji kada radite sa živim mesom i perete ruke pre i posle odlaska u toalet.

(MONDO)