Mondo
Naslovna
Najnovije
Sport
Info
Zabava
Magazin
Lepa i srećna
Sensa
Stvar ukusa
Yumama
Još
Kategorije
Ostalo
Naslovna
bizarno
#
bizarno
Ljubav
6.12.2021.
SPAVAO SA MAJKOM SVOJE DEVOJKE, A SAD SE KAJE: Zvala ga i UPOZORILA na jedno, našao se u nebranom grožđu!
Reaguj
Komentariši
Svet
3.12.2021.
MISLILI DA ŽENA DOJI BEBU U AVIONU: Kada su videli ŠTA joj je stvarno na grudima, nastao haos - "čuli smo VRIŠTANJE"!
Reaguj
5
EX YU
1.12.2021.
BESPLATNO RAZVODIMO PO KUĆAMA: Hit snimak iz Zagreba - muškarac u panici pozvao vatrogasce (VIDEO)
Reaguj
Komentariši
Stil
30.11.2021.
ODSEKAO 2 PRSTA DA BI LIČIO NA VANZEMALJCA: Isečeni su i nos i uši, a ni to nije sve - otkrio je i zašto to radi! (FOTO)
Reaguj
11
Ljubav
29.11.2021.
OŽENIO SEKS LUTKU, POSLE TOGA SE ZALJUBIO U PEPELJARU, PA POKAZAO NOVU ŽENU: Prva se pokvarila, upoznajte drugu! (FOTO)
Reaguj
7
Svet
27.11.2021.
MUŽ I ŽENA UKRALI 20 MILIONA, ISEKLI NANOGICE I POBEGLI! Ostavili troje DECE, FBI u šoku zbog PISMA koju su im napisali!
Reaguj
3
Stil
26.11.2021.
VIDEO OD 1,5 MILIONA PREGLEDA! Ako žena ima menstruaciju, a umre, šta se desi? Odgovara POGREBNICA!
Reaguj
Komentariši
Stil
25.11.2021.
PRODAJE ONO ČEGA SE SVI STIDE I ZARAĐUJE OZBILJNE PARE: Jedni kažu da je ODVRATNO, drugi joj čestitaju na ideji! (FOTO)
Reaguj
1
EX YU
24.11.2021.
JULIJA ODSEKLA SEBI ŠAKU ZBOG OSIGURANJA: Bizaran slučaj koji je šokirao Sloveniju - na suđenju usledio OBRT
Reaguj
2
Svet
19.11.2021.
RODITELJI SINA POLILI BENZINOM I ZAPALILI: Odlučili da ga kazne jer se oženio, proveo nekoliko nedelja u komi
Reaguj
2
Svet
18.11.2021.
HANU NAŠLI U RECI, PAMĆENJE JOJ IZBRISANO! Godinama kasnije opet nestala, majci rekla JEDNU REČ - niko ne zna gde je!
Reaguj
Komentariši
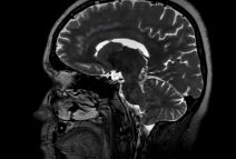
Zdravlje
18.11.2021.
MLAD I ZDRAV ČOVEK SE SAMO SRUŠIO, POČEO DA BUNCA: Lekari zanemeli kada su na snimku videli GADOSTI koje mu žive u mozgu
Reaguj
2
Stil
17.11.2021.
SVAKI DAN PIJE PO 5 ČAŠA SVOG URINA: Počela je od jedne čaše, a stigla do 2 litra dnevno - "neću prestati to da radim"
Reaguj
1
Stil
13.11.2021.
NISU SE NIMALO POCEPALE DOK SAM SE KOTRLJALA NIZ PLANINU: Žena napisala iskreni opis helanki, svi se guše od smeha!
Reaguj
3
Ljubav
5.11.2021.
DOJIM SVOG DEČKA I TO JE OJAČALO NAŠU VEZU: Lana muškarca tretira kao bebu, a evo šta on radi s njenim MLEKOM
Reaguj
4
Stil
26.10.2021.
DEVOJKA ZGROZILA FOTKOM NA DRUŠTVENIM MREŽAMA: Ona pozira, a ljudi gledaju i ne veruju šta vide! (FOTO)
Reaguj
1
Svet
26.10.2021.
UZNEMIRUJUĆE FOTOGRAFIJE ZBOG KOJIH CEO SVET DRHTI: Prizori koje ljudi ne mogu da podnesu - koji je vama najstrašniji?
Reaguj
1
Društvo
24.10.2021.
MISTERIJA 7 IDENTIČNIH SPALJENIH KRUGOVA KOD ČAČKA: Meštani pričaju o vilama i vanzemaljcima - vlasnik imanja ZABRINUT!
Reaguj
6
Svet
22.10.2021.
ŽENA UPALA SA BEBOM U ŠAHT: Scena koja je šokirala sve, ljudi je osuđuju da je loša majka zbog JEDNOG razloga (VIDEO)
Reaguj
Komentariši
Svet
18.10.2021.
OTAC PODIGAO ĆERKI (25) BIZARAN SPOMENIK: Svi se krste kada ga ugledaju - otkud OVO na groblju?! (VIDEO)
Reaguj
1
Svet
16.10.2021.
BIZARNA SCENA U KINI - ŽENA U PANICI OTIŠLA U POLICIJU PO POMOĆ: Zbog poteza njenog sina, ceo svet joj se smeje (VIDEO)
Reaguj
Komentariši
EX YU
6.10.2021.
U NALETU BESA ZAPALIO MAJKU JER MU JE UZELA POSLEDNJU CIGARETU?! Jezivi detalji brutalnog ubistva u Splitu
Reaguj
Komentariši
Crna hronika
6.10.2021.
DEDA (80) IZUJEDAO BABU (74) PO GRUDIMA USRED BEOGRADA: Nije mu prvi put, žena teško povređena i prevezena u bolnicu!
Reaguj
3
Svet
2.10.2021.
IMAM 24 GODINE, NOSIM PELENE i SISAM CUCLU: Neću da odrastem, SAŽALJEVAM sve koji imaju posao i odgovornosti! (FOTO)
Reaguj
1
Svet
30.9.2021.
SMRT KAO IZ HOROR FILMA! PROBUDIO SE I SHVATIO DA GA NEŠTO GRIZE: Umro mesec dana kasnije u JEZIVIM mukama!
Reaguj
6
Društvo
27.9.2021.
"PAUK" ODNEO AUTO GOSPOĐI IZ ŠAPCA, PA USLEDIO ŠOK: Došla do Parking servisa u BADEMANTILU i s pićem u ruci! (VIDEO)
Reaguj
2
Svet
20.9.2021.
DOSELIO SE U NOVU KUĆU, PA OTKRIO ŠUPLJINU U ZIDU! Britanac našao LUTKU i poruku: Ubila sam ih, nadam se da dobro spavaš
Reaguj
2
Svet
19.9.2021.
HTEO SAM DA SE NAGRUVAM, BIO SAM MLAD I GLUP: Rus (25) potpuno DEFORMISAO ruke, sada mu život visi o koncu (FOTO)
Reaguj
5
Ljubav
19.9.2021.
SONJA IMA SVEKRVU IZ PAKLA - SIGURNO VARAŠ MOG SINA! Odnela unuče KRIŠOM na DNK analizu, a kad su stigli rezultati...
Reaguj
4
Svet
17.9.2021.
SLUČAJ KOJI JE I LEKARE "ZABOLEO": Tinejdžeru se KABL zaglavio u penisu - hteo da ga izmeri, ali se stvorio ČVOR!
Reaguj
1
1
…
6
7
8
9
Arhiva
Pratite nas na
Najnovije
Stil
Pre 5 min
Pas zavija, manje drema, beži od vas: Zapamtite ove simptome ako imate starijeg ljubimca
Reaguj
Komentariši
Zvezde i tračevi
Pre 6 min
Šta se stvarno desilo kad je nestala Marijana iz Velikog brata: Vitlala nožem pred detetom, a muž je uhvatio sa drugim
Reaguj
Komentariši
EX YU
Pre 8 min
Ako ga vidite, odmah pozovite policiju: Pokušao atentat na "škaljarca" i pobegao bez traga (Foto)
Reaguj
Komentariši
Crna hronika
Pre 9 min
"Sumnja se da su krenuli u isto vreme da pretiču": Jezivi detalji nesreće kod Barajeva u kojoj je osoba poginula
Reaguj
Komentariši
Košarka
Pre 10 min
"Svestan sam da su navijači ljuti": Đoan Penjaroja otkrio kako će izvesti Partizan iz krize
Reaguj
Komentariši
Mondo Tema
Zvezde i tračevi
Ko se sve razveo u 2025: Fudbaler varao ženu sa trudnom novinarkom, a on živeo sa pevačicom i ljubavnicom u isto vreme
Reaguj
Komentariši
Košarka
Žuti karton za Devontea Grejema: Saša Obradović ovo neće da trpi
Reaguj
14
Zvezde i tračevi
Boki 13 prvi put o zatvoru i estradi, udario na Cecu: "Nije normalna, kao kad bih ja u Beogradu nosio zastavu Kosova"
Reaguj
Komentariši
Zvezde i tračevi
"Da imam dečaka, teže bi mu bilo što raste bez oca": Srpska glumica prvi put o partneru s kojim se razišla pre porođaja
Reaguj
Komentariši
Fudbal
Kako Ronaldo izgleda ovako sa 40 godina? Ima neobičan san i jednu strogo zabranjenu stvar u ishrani
Reaguj
Komentariši
Najviše komentara
1
Zvezdan Terzić o pomoći države: "Crvena zvezda za 10 godina nije dobila koliko Partizan za godinu dana"
10
2
"Prelazni rok je odrađen fantastično, potrebne male korekcije": Terzić pričao o pojačanjima Crvene zvezde
8
3
Evropa šokirana reklamom koja se vrti po televizijama i mrežama: "Muče vas inflacija i visoki računi? Kriv je Putin"
8
4
Živimo u zgradama na ivici roka trajanja, neke su stare i do 65 godina: Stručnjak upozorava na skrivene opasnosti
6
5
Putin glatko odbio novi plan o Ukrajini od 20 tačaka: Moskva ne prelazi preko 3 ključne odredbe
6
Zvezdan Terzić o pomoći države: "Crvena zvezda za 10 godina nije dobila koliko Partizan za godinu dana"
"Prelazni rok je odrađen fantastično, potrebne male korekcije": Terzić pričao o pojačanjima Crvene zvezde
Evropa šokirana reklamom koja se vrti po televizijama i mrežama: "Muče vas inflacija i visoki računi? Kriv je Putin"
Živimo u zgradama na ivici roka trajanja, neke su stare i do 65 godina: Stručnjak upozorava na skrivene opasnosti
Putin glatko odbio novi plan o Ukrajini od 20 tačaka: Moskva ne prelazi preko 3 ključne odredbe